Microscopia Odontológica na Endodontia

Visualização Ampliada e Diagnóstico de Alta Precisão Microscopia Odontológica na Endodontia representa, atualmente, um avanço indispensável dentro da odontologia de alto padrão. Desde o início do procedimento até a finalização do tratamento, essa tecnologia atua como uma aliada fundamental para garantir excelência clínica. Por meio da tecnologia de aumento, o cirurgião-dentista conquista uma visualização significativamente […]
Benefícios da Endodontia Avançada na Preservação Dentária

Na era da odontologia moderna, os Benefícios da Endodontia surge, acima de tudo, como uma solução essencial e estratégica para aqueles que desejam preservar o dente natural. Além disso, ela oferece a oportunidade de manter, simultaneamente, a funcionalidade, a estética e a saúde bucal por um longo período. Por outro lado, ao optar por essa […]
Protocolo sobre Implantes

Na odontologia de alto padrão, optar pelo protocolo mais adequado para a reabilitação com implantes torna-se uma decisão absolutamente estratégica, especialmente quando o objetivo é alcançar, de forma conjunta, segurança clínica, previsibilidade nos resultados e uma estética altamente refinada. Diante da ampla variedade de abordagens disponíveis atualmente, é fundamental compreender, com clareza, as características que […]
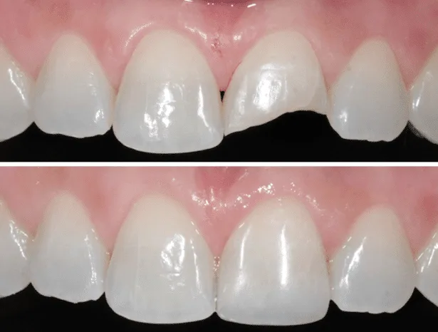
Restauração com Resina

A restauração com resina premium revolucionou, de fato, a forma como a odontologia moderna realiza tratamentos restauradores, já que combina estética natural com durabilidade e beleza. Além disso, é indicada para pacientes que desejam não apenas aliar reabilitação oral de luxo com conforto, mas também obter resultados imediatos. Por outro lado, a resina composta avançada permite, acima de tudo, um acabamento impecável e, ao mesmo tempo, harmônico […]
Cuidados e Manutenção das Lentes de Porcelana

As lentes de porcelana são, sem dúvida, uma excelente solução para quem deseja um sorriso perfeito, proporcionando um resultado natural e duradouro. No entanto, os cuidados e a manutenção das lentes de porcelana são absolutamente essenciais para garantir que esse resultado permaneça impecável ao longo dos anos. Além disso, para manter sua beleza e funcionalidade ao longo do tempo, é fundamental seguir […]
Mitos Sobre Coroas de Porcelana: Desvendamos 7 Crenças

As Coroas de Porcelana são, sem dúvida, uma solução amplamente reconhecida em tratamentos odontológicos estéticos e reabilitação oral. No entanto, muitas vezes, estão envoltas em crenças equivocadas, o que acaba gerando dúvidas e insegurança nos pacientes. Por esse motivo, na odontologia premium, a transparência e o esclarecimento não apenas são essenciais para garantir confiança, mas […]
Dor de Dente Perto da Penha

Dor de Dente Perto da Penha – a dor de dente pode ser uma das experiências mais agonizantes que alguém pode passar. Ela não só afeta o seu bem-estar físico, mas também pode ter um impacto significativo no seu dia a dia. Para os residentes perto da Penha, encontrar alívio rápido e eficaz é crucial. […]
Refazer as Lentes de Contato Dental Próximo ao Belém

As lentes de contato dental são uma solução moderna e eficaz para transformar o seu sorriso, corrigindo imperfeições e proporcionando uma aparência estética natural. Se você está procurando uma clínica de confiança para refazer suas lentes de contato dental perto do Belém, a Allegra Odontologia Tatuapé é a escolha perfeita. Neste artigo, vamos abordar a […]
Dentista premium em SP – Allegra Odontologia

Dentista Premium em SP – Cuidado Excepcional e Resultados de Qualidade. Cuidar da saúde bucal é essencial para manter um sorriso bonito e uma boa qualidade de vida. Em São Paulo, a Allegra Odontologia se destaca como uma clínica odontológica premium, oferecendo cuidados excepcionais e resultados de qualidade. Neste artigo, vamos explorar os serviços odontológicos […]